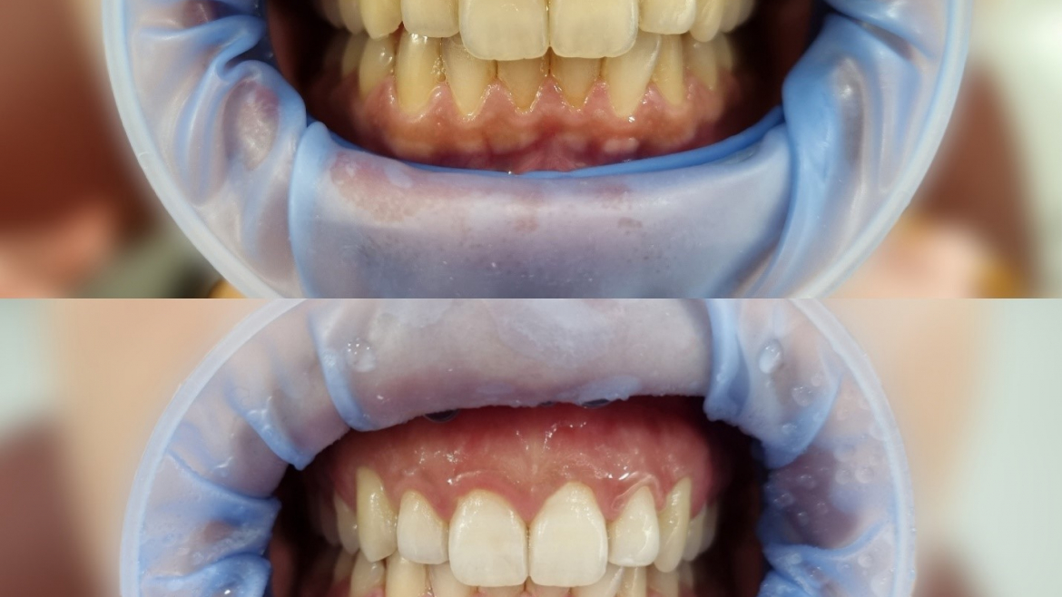
Ukoliko Vas interesuje beljenje zuba, potrebno je zakazati pregled kod stomatologa te proći nekoliko koraka pre nego što se utvrdi da se beljenje može adekvatno izvršiti.
- Potrebno je ukloniti sve meke i čvrste naslage
- Sanirati karijes i prekriti ogoljene vratove zuba
- Sanirati blage forme gingivitisa ako postoje
Takođe, treba znati da krunice, mostovi, fasete (bilo koji vid fiksnih nadoknada) ne podležu beljenju. Samo prirodne zube je moguće izbeliti.
Postoje dve vrste beljenja zuba, a to je ordinacijsko i kućno beljenje zuba.
Kada je kućno beljenje zuba u pitanju vrši se pod kontrolom stomatologa, ali takođe učestvuje i pacijent u samom postupku.
Nakon pregleda uzima se otisak zuba pomoću kašike i odgovarajućeg materijala. Zatim se izliva model na osnovu otiska i priprema se za pravljenje folija koje odgovaraju konkretno samo tom pacijentu.
Izbeljivači koji se koriste mogu biti u koncentraciji od 10 do 22% i dolazi do postepene alteracije boje zuba. Zbog nižih koncentracija manja je osetljivost zuba. Folije, u zavisnosti od koncentracije izbeljivača, možete da nosite tokom noći ili par sati u toku dana.
Korišćenje i održavanje folija:
- Kada jednom dobijete folije možete ih koristiti i svaki naredni put kada želite ponovno beljenje (sem ako niste u međuvremenu vadili zube, radili protetske radove, veće kompozitne restauracije…)
- Izbeljivač nanosite u veličini zrna pirinča (ne punite svu foliju)
- Nemojte da perete folije toplom vodom jer se mogu deformisati
Kome se ne preporučuje beljenje zuba?
- Osobe koje su alergične na neke komponente gela
- Kod osoba koje imaju velike kompozitne plombe na prednjim zubima ili amalgam (sive plombe)
- Kod osoba koje imaju karijes na zubima i/ili oboljenja parodoncijuma, frakture zuba itd.
- Ne preporučuje se u trudnoći i periodu laktacije tj. dojenja
